Sorridi di nuovo grazie allO

Sbiancamento dentale e igiene dentale professionale a Roma Aurelio e Montesacro

Cerchi un trattamento di sbiancamento dentale professionale o un’accurata igiene dentale? La Dott.ssa Vania De Santis offre soluzioni efficaci e personalizzate per migliorare il tuo sorriso. Grazie a tecniche moderne come il GBT e trattamenti laser, potrai ottenere una pulizia profonda e risultati visibili fin da subito. Il tutto con un’attenzione concreta alla prevenzione e alla salute orale. Disponibile a Roma Aurelio e Roma Montesacro.

A variety of dental hygiene tools arranged neatly on a vibrant blue surface, showcasing oral care essentials.
Chi sono

Dott.ssa Vania De Santis

Con anni di esperienza, la Dott.ssa Vania De Santis offre trattamenti personalizzati per denti sani e belli, utilizzando tecnologie avanzate e tecniche innovative.

Servizi offerti

Trattamenti dentali per la salute e l’estetica del sorriso

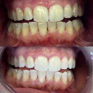
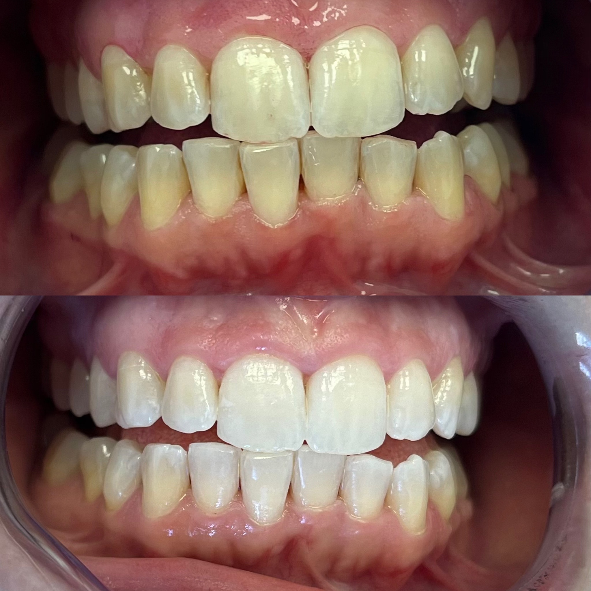
Sbiancamento dentale

Lo sbiancamento dentale è uno dei trattamenti più richiesti per migliorare l’estetica del sorriso. La Dott.ssa Vania De Santis utilizza tecniche professionali che riducono il rischio di sensibilità, garantendo denti più bianchi in modo sicuro. Tra le opzioni disponibili c’è anche lo sbiancamento laser, ideale per chi desidera risultati immediati e duraturi. Prima di ogni trattamento viene effettuata una valutazione dello stato dentale, per proporre il protocollo più adatto al paziente, anche in caso di macchie dentali ostinate.

Igiene dentale completa e su misura

L’igiene dentale non è solo una semplice pulizia dei denti: comprende una serie di interventi fondamentali per mantenere salute gengivale e prevenire patologie. Lo studio della Dott.ssa Vania De Santis offre trattamenti avanzati come la GBT (Guided Biofilm Therapy), una tecnologia che rimuove il biofilm batterico in modo preciso e meno invasivo. Questo approccio è utile anche per pazienti con ipersensibilità dentale o soggetti a frequenti carie, garantendo una pulizia efficace e delicata.

Trattamenti per la parodontite e prevenzione

Oltre ai servizi di igiene e sbiancamento, lo studio si occupa del trattamento della parodontite, una condizione che, se trascurata, può compromettere la stabilità dei denti. Grazie a protocolli mirati e strumentazione di ultima generazione, si interviene anche nei casi più avanzati. La prevenzione gioca un ruolo chiave: vengono forniti consigli personalizzati su alimentazione e igiene domiciliare per limitare la formazione di placca e tartaro. Disponibili anche interventi di prevenzione carie e controllo periodico.

Perché scegliere noi

I vantaggi unici dei nostri servizi professionali

Tecnologia avanzata

Utilizziamo sistemi moderni e testati per garantire sicurezza e risultati efficaci nel trattamento dentale.

Approccio personalizzato

Ogni paziente riceve un piano di trattamento su misura basato sulle esigenze specifiche del sorriso.

Benessere del paziente

Ci prendiamo cura del tuo comfort e della tua salute dentale a lungo termine.

Galleria

Contatti & Info

telefono

333 343 0072

indirizzo

Via della Cava Aurelia 185,  00165 Roma (RM)
Via Ugo Ojetti, 79, 00137 Roma (RM)

Torna in alto